Resultados que hablan por sí solos

Casos reales de mis pacientes

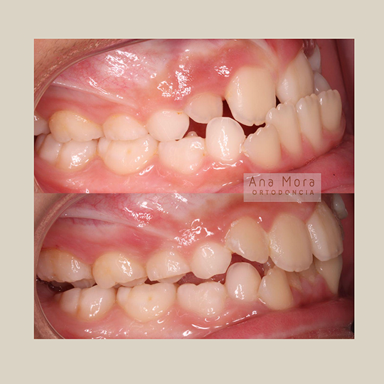
Explora imágenes del antes y después de tratamientos con ortodoncia convencional, estética e invisible. Cada caso ha sido tratado con un plan individualizado, atendiendo tanto a la funcionalidad como a la estética dental. Estos resultados reflejan mi compromiso con la excelencia clínica.