Ana Mora Ortodoncia

Tu sonrisa en buenas manos

Soy la doctora Ana Mora, ortodoncista con doctorado por la Universidad de Valencia y profesora colaboradora en el Grado de Odontología de la Universidad Católica de Murcia. 


Paso consulta en distintas clínicas de Murcia y alrededores, acompañando a cada paciente en el cuidado de su salud bucodental y ofreciendo tratamientos personalizados de ortodoncia para conseguir resultados estéticos y funcionales reales, siempre desde la cercanía, la experiencia y el compromiso.

Sobre mí

Experiencia, cercanía y atención real

Me dedico a la ortodoncia desde hace años, ayudando a mejorar la posición de dientes, corregir maloclusiones, mejorar la función y la oclusión del sistema masticatorio al mismo tiempo que mejoramos la estética y la sonrisa.

Soy especialista en el tratamiento temprano de maloclusiones en niños con ortopedia dentofacial y experta en ortodoncia transparente con alineadores.

Trabajo tanto en adultos como en niños para conseguir tu sonrisa soñada y oclusalmente estable. 

En cada tratamiento te explico todo de forma clara y escuchando tus necesidades.

Mi compromiso es acompañarte en cada paso.

Mis servicios

Tratamientos pensados solo para ti

Cada sonrisa es diferente, por eso adapto cada tratamiento según tu edad, estilo de vida y objetivos. Juntos elegiremos la mejor opción para ti, porque mi prioridad es que te sientas cómodo y seguro en todo momento.

Ortodoncia infantil

Cuido el desarrollo dental de los más pequeños con tratamientos tempranos que previenen maloclusiones futuras.

Ortodoncia para adolescentes

Acompaño esta etapa clave con opciones eficaces y estéticas que se adaptan a su ritmo de vida.

Ortodoncia para adultos

Diseño tratamientos cómodos y discretos para mejorar tu sonrisa sin interrumpir tu rutina diaria.

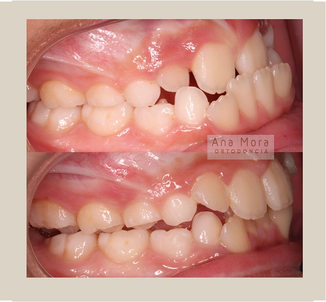
Sonrisas reales, resultados visibles

Casos clínicos

Mis tratamientos hablan por sí solos. Te muestro una selección de casos reales en los que mis pacientes han mejorado su sonrisa y su salud dental. Cada transformación refleja un proceso personalizado, realizado con precisión y cuidado profesional.